検査結果報告書に「分からない事/困った時にはお気軽にご相談下さい」
と書いていますが?

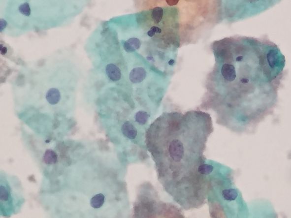
私達が日常の業務(子宮頸がん検診の標本)で見ている細胞はこのように見えます。
この写真を良く見ると、針の様な細菌がたくさん見えます。この細菌が(グリーンに見える)細胞を溶かし、細胞の中に豊富にあるグリコーゲン(糖分)を栄養源(エサ)として増えているのです。次の生理の直前(分泌後期)の典型的な写真です。極めて健康的な腟内であることが分かります。
グラム染色という特殊な染色をして観察すると、濃紺に染まる(グラム陽性)細長い菌(桿菌)がたくさん見えます。。これが腟内フローラの主役(乳酸桿菌)です。
ところが、同じ分泌期のケースですが、前の写真とは全く異なり、中央やや右に紫っぽく染まる細胞がみられますが、これはクルーセルといいます。小さな菌が細胞に群がった状態ですが、細胞の上だけでなく写真全面に散らばっています。乳酸菌とは全く違った菌です。
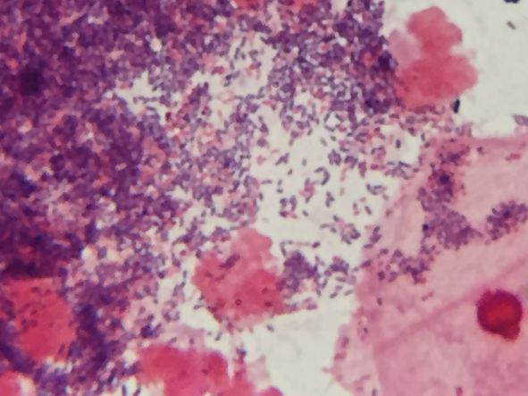
グラム染色した標本で観察すると、細かく(短桿菌)青く染まる(グラム陽性)菌と赤く染まる(グラム陰性)菌が見られます。これこそが(悪玉菌といわれる)腟ガルドネラ菌です。腟内フローラが乱れると腟内はこのように劇的変化を示し、典型的な細菌性腟症のケースです。

どうしてこのような現象が起こるのでしょうか?

簡単に言ってしまえば、何らかの原因で乳酸菌がいなくなったので、代わりに腟ガルドネラ菌が増えた。それではなぜ乳酸菌がいなくなったのか?
■乳酸菌が増えるためのエサ(グリコーゲン)が少なくなった。
更年期になって膣が萎縮するとグリコーゲンをたくさん含む細胞(中層細胞)がなくなるので乳酸菌は増えることが出来ません。
ホルモン補充療法をすれば中層細胞が増えてくるので乳酸菌のエサも増えることになります。
■乳酸菌が増える暇がない。10代後半から20代前半にかけて細菌性腟症は多くなります。この時期は性行動が活発な時期で(ひょっとしたら)乳酸菌が(増える暇がなく)減少傾向になります。それを補う形で腟ガルドネラ菌が増えてくる(これはあくまで私の仮説です)。
対策としては性交回数を控えめにすることで防げるかもしれませんが、一旦バランスが崩れてしまってからはフラジールでの治療が必要かもしれません。乳酸菌サプリでは改善しきれない場合もあるかも知れません。細菌性腟症は30代(子育て中)で一旦少なくなる傾向がありますが、これも性交回数と関係があるかも知れません。しかし、40代になるとまた増えてくる傾向があります。
■腟洗浄は大切な乳酸菌を自ら排除してしまう可能性があります。それと同じように出産により腟の入り口が広くなり、入浴時にお風呂のお湯が腟内に入ってしまい腟洗浄と同じような状況になってしまう可能性があります。腟洗浄は原則お医者さんが必要と認められた時以外はお勧めできません。
ご自分で膣洗浄が必要と考えた時は婦人科を受診すべきと思います。また、入浴時に腟内にお湯が入ってしまう人も婦人科の先生にご相談されるのが良いと思いますが、
しばらく入浴を控えシャワーにしてはどうかと思います。

こんな風に、その人に合った対策が必要ではないか?

私達が実施したアンケート調査によると、オリモノや臭い等、女性特有の症状で悩んだことがあると答えた人は91%に達しています。それだけ多くの女性が悩まれている分けですので、腟洗浄や乳酸菌サプリのみならずフラジールによる治療やホルモン補充療法などたくさんの選択肢があります。どれもが誰にでも効果があるとは思えませんので、自分に合った対策を見つける必要があります。とは言え、一般の方には難しい問題があります。

アイラボの検査報告書には「お気軽にご相談下さい」と

どれだけ皆さんのお役に立てるか分かりませんが、皆さん個々の経緯を伺ったうえで、私達が経験した中から参考になるお話をさせて頂ければと考えています。

最後に嬉しい一例を紹介します
(個人様の了解は頂いています)

最初に拝見した時の細胞診の写真です。典型的な細菌性腟症の所見でクルーセルが見られます。そればかりでなく、この方はかなりの炎症(腟炎)を伴っていました。
グラム染色でも腟ガル後ネラ菌のみで乳酸菌は全く見られません。この方には腟炎を伴っていましたので婦人科クリニックの受診を勧めました。先ずクロマイの座薬で炎症を抑えた後、フラジールで一週間治療しました。途中、菌交代現象によるカンジダ症を併発しましたが。。。。
その後乳酸菌が復活し腟内フローラは正常に戻りました。
問題はそれからです。この方は再発を防ぐため様々な形で生活習慣の改善を試みたそうです。
一番の効果は?、、、と尋ねると、
あわただしい生活習慣をゆったりした時間を持つようにしたことかな?
という返事が返ってきました。