妊活中にしておきたい細菌性腟症のチェック

この細菌は、腟内フローラを代表する乳酸桿菌(Lactobacillus)です。
腟内の糖分(グリコーゲン)を分解して多量の乳酸を作るグラム陽性桿菌です。
性成熟期女性(妊娠可能な女性)の腟内には多量の糖分が存在するため、活発に増殖して腟内の酸度を高めることで、腟内に侵入した他の菌の増殖を抑えているのです。
この神秘的な営みを腟の自浄作用と言います。
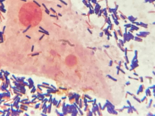
これは分泌期(生理直前)にみられた乳酸桿菌ですが、枝分かれしたもの、湾曲したもの、長いもの、短いものが混在しています。
この菌もLactobacillus属の一種で、2股に分かれることから分岐乳酸桿菌などと呼ばれるビフィズス菌Bifidobacterium bifidumで腟内によく見られる菌です。
腟内フローラは乳酸菌だけでありません。細菌性腟症の原因菌の一つである腟ガルドネラ菌(悪玉菌)も実は健康な腟内に生息しています。何らかの原因で腟内環境が乱れると、乳酸菌の代わりに腟ガルドネラ菌が増えて、腟内を支配するようになります。悪玉菌と言われていますが、(私は)必ずしもそうではなく、少なくなってしまった乳酸菌の代わりに腟内を守っているのかも知れません(腟ガルドネラ菌も乳酸菌ほどではありませんが乳酸をつくるのです)。でも、腟ガルドネラ菌が増えてくると“嫌な臭い”になるのです。そればかりではありません。早産や流産の原因になると言われているのです。
それでは、腟ガルドネラ菌に支配されている腟内を見ることにしましょう。
先の3枚の写真と同じ倍率で撮影しています。
健康な腟内にあれだけたくさん見られた乳酸菌の仲間は全く見られません。
この写真で見られるほとんどが腟ガルドネラ菌です。青く染まる菌に目が行きがちですが、赤く染まっているのも同じ腟ガルドネラ菌です。
腟内がこんなに劇的に変わってしまうのです。
乳酸菌の仲間がたくさん住み着いている時の腟の酸度Phは3.5程の強い酸性ですので、酸味の強い臭いですが、腟ガルドネラ菌の世界になると4.5以上になり、不快な臭い(魚臭帯下=生臭い臭い)になり、多くの方は“嫌な臭いになった”と実感されます

細菌性腟症と早産について勉強しましょう

日本性感染症学会2008年ガイドラインの一部を引用します。
『妊婦の細菌性腟症は、絨毛膜羊膜炎、正期前の低出生体重児、産褥子宮内膜炎などと関係がある。特に、妊娠後期に細菌性腟症が起これば、早産、新生児の肺炎、髄膜炎、菌血症などの感染症の原因になる。』と記載されています。
早産とは、妊娠22週から37週までの分娩を言いますが、昨年2025.12.20-21名古屋市で開催された日本性感染症学会第36回学術大会にアイラボの尾野緑氏が出席し、拝聴した講演を紹介しましょう。そのタイトルは「妊婦初期BV対策がもたらす超早期予防効果:北海道と全国、11年間の比較」です。
その講演の概略は以下の通りです。
1991年から、北海道の早産のリスクを減らすため、妊娠12週前にBV(細菌性腟症)検査を実施し、BV例を治療してきました。2012年度は67.1%の施設で妊婦全例に検査と治療を実施し、2019年4月からは妊娠時BV検査が全例公費負担になりました。今回の発表は、2013‐2023の間の北海道と全国における早産(37週まで)率と超早産(28週まで)率の推移を比較しました。その結果、超早産率は全国より低くなり、BV検査と治療の効果があったと結論付けています。胎盤における絨毛膜羊膜炎の発生率は妊娠22‐26週で60%、32‐34週で20%へと徐々に減少するとの報告があり、BV検査と治療により、超早産減少へ寄与したとしています。

妊活中にしておきたい細菌性腟症のチェック

私達の専門は婦人科細胞診です。
つまり、婦人科の先生が採取した検体を特殊な染色をして顕微鏡で異常な細胞がないか調べています。そんな中に、かなりの頻度で細菌性腟症に特有なクルーセル(下の写真)が出てきます。また、本来存在するはずの乳酸菌が見られないケースなど、細菌性腟症(BV)が疑われるケースは決して少なくないのです。アイラボに検査を依頼される病院やクリニックの先生方には「細菌性腟症が疑われます」とのコメントを記載しますが、他の検査機関ではそのような所見が見られても「記載しない」施設は少なくありません。とても残念なことですが、「嫌なな臭いが心配」だけではなく、早産予防の観点からも細菌性腟症に関する知識を高めて欲しいものです。
写真は典型的な細菌性腟症を疑うケースです。
写真中央左の細胞がクルーセルです。

アイラボのFemバランスチェックで気軽に検査してみましょう