健診時の内診ではNP(no problem=問題なし」ですが?
クラミジア感染に伴う腟炎が疑われます

子宮頸部(細胞診)検査は子宮頸がん検診に用いられる検査で、「異常な細胞が見られるかどうか」を調べるのが本来の目的です。通常、細胞を採取する前にお医者さんによる内診が行われ、特に問題がなければ、NP(no problem=問題なし)と記載されることもあります。
今回ご紹介するケースも内診では異常は見られないかったようです。

早速細胞を見てみましょう

白血球が増加し、若干炎症傾向を認めます。
軽度の腟炎があるようですが、この程度ですとお医者さんは問題ないと判断されたようです。もう少し拡大を上げて他の部位も見てみましょう。
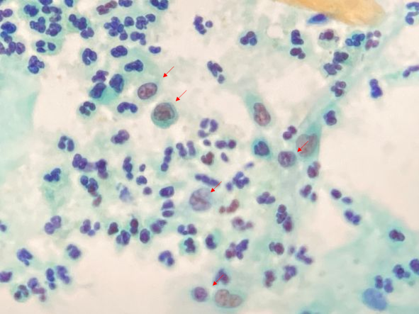
やはり白血球(好中球)が普通より増えていますが、赤の矢印で示すように核が一つのリンパ球の割合も増えています。何気なく観察していると見逃してしまいますが、このような所見は濾胞性頸管炎を疑う所見として大切です。
違う場所にもリンパ球が増えています。
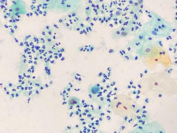
検体を直接ガラスに塗るとリンパ球が集簇的に観察されるため濾胞性頸管炎の診断は比較的容易ですが、検体を液の中に洗い出すLBC法ではリンパ球がバラバラになるため診断が難しくなります。

細胞診で濾胞性頸管炎が疑われたら先ずクラミジア感染を疑え!

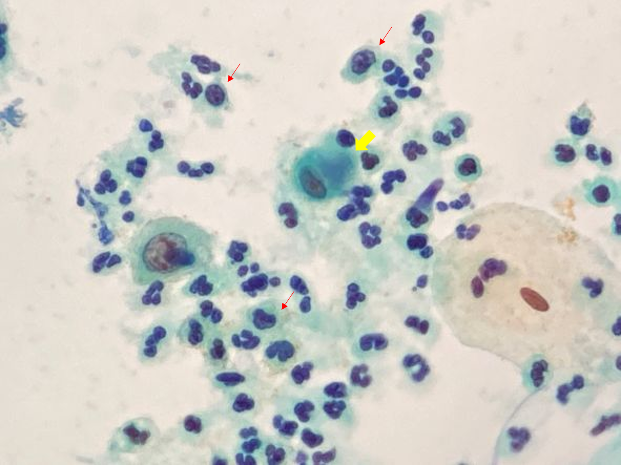
最初の写真の一部を拡大した写真です。ここでも赤の矢印のリンパ球を認めますが、その他に見かけない細胞があります(黄色の矢印)。この細胞は少し変性していますが、クラミジア感染に特有な細胞です。
さらに拡大を上げてみましょう。
星雲状封入体
クラミジアが細胞の中で増えている状態です。
こちらが、Drシイナが発見して命名した星雲状封入体です。
(Acta Cytol29:683-691.1985)

子宮頸部細胞診は婦人科感染症の総合的診断法です。

アイラボは婦人科細胞診のプロ集団です。
ですから、郵送検査では私達の特技を最大限に生かし、どのような検査でも腟内環境をチェックし、得られた情報は報告書に反映させています。
せっかくの機会を無駄にしないそれがアイラボの郵送検査です。