おりものと臭いが気になっていたので
Femバランスチェックを受けたところ

21歳女性で、おりものや臭い、そして痒みがあり婦人科を受診しました。
その結果、カンジダ症と診断され薬を処方して頂きましたが、なかなか改善した感じがないので、アイラボの「おりもの&においの検査」を依頼されました。この方は、受診した際特に検査はされた記憶はないとのことです。痒みがあるのでカンジダ症と診断だったかも知れません(その辺は依頼者の申告通りに記載します。)
それでは早速顕微鏡で見てみましょう。
先ずは、弱拡大で腟内の状況を見てみましょう。

白血球はそれほど多くなく、比較的きれいな状況かな?、、、、と思いますが?
この時点で、明らかなクルーセルを認めますので、
細菌性腟症が疑われます。

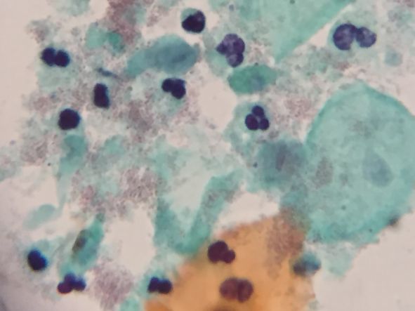
中央付近の拡大を上げてみると。
写真全体に紫色に染まるモヤモヤしたものが見えます。
さらに右上にやや赤紫色に染まる細胞がみられます。
これをクルーセルといいます。
腟ガルドネラ菌がオレンジ色に染まる細胞に群がっている所見です。
この細胞は細菌性腟症に特有なもので、細菌性腟症が疑われる最も重要な所見です。
これがクルーセルです。

更に別の部位を拡大してみましょう。
中央付近に、緑色に染まる小さな細胞が数個見られます。
チョットわかりにくいので、さらに拡大を上げると。
やや濃く緑色に染まる細胞が分かりますか?
この細胞には核が見えます。
、、、、ということで、
この小さな細胞はトリコモナス原虫です。
画面全体に紫色に染まる顆粒は腟ガルドネラ菌です。

カンジダの治療で改善されなかった原因。
分かりましたか?

今回のケースをまとめてみましょう。
最初はおりものの異常(白っぽいおりものの増加と生臭い臭い)と若干痒みがあったようです。
白っぽいおりものはカンジダ症の特徴です。
生臭い嫌な臭いは細菌性腟症の特徴です。
痒みはカンジダ症、腟トリコモナス症、細菌性腟症、HPV感染の初期、かぶれなどいろいろな原因で起こります。

病気に特有な症状からみてみましょう。
カンジダ症は白っぽいおりものの増加と痒みを伴います。
細菌性腟症は白から灰色のおりものの増加と生臭い嫌な臭いが特徴です。
膣トリコモナス症は黄色いおりものと痒みが主な症状です。

症状だけで診断するとカンジダ症と細菌性腟症は間違いやすい

今回のケースはさらにトリコモナスの感染がありました。腟トリコモナス症は一般に黄色いおりものが増加します。その原因は強い腟炎を伴うため白血球が増えるからです。白血球はトリコモナス原虫と戦って死にます。それが膿です。
おりものが黄色くなるのはそのためです。
しかし、今回のケースは最初の写真で示したように白血球の増加はみられません。
「腟トリコモナス症で白血球が増えないケースがある=おりものが黄色くならないことがある」

細菌性腟症とカンジダ症はお医者さんもよく間違えます。
白っぽいおりもの、(強弱はあるが)痒み嫌な臭いは細菌性腟症だけでない(カンジダ症でもトリコモナス症でも強烈な臭いを伴うことがあります)。
症状がよく似ているので間違いやすい上に、細菌性腟症のことをよく知らない先生もいらっしゃるようです。